New AI tool can detect Covid infection from chest X-rays 98% accuracy 
Gadgets

New AI tool can detect Covid infection from chest X-rays 98% accuracy

An artificial intelligence (AI) system created by Australian researchers can quickly and accurately identify Covid-19 from chest X-rays with over 98% accuracy

IANS

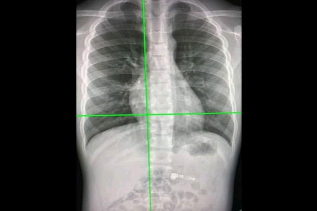
Australian researchers have developed an artificial intelligence (AI) system that can rapidly detect COVID-19 from chest X-rays with more than 98 percent accuracy and may be more beneficial than the currently used RT-PCR test. According to Professor Amir H. Gandomi from the University of Technology Sydney (UTS) Data Science Institute, there was a pressing need for effective automated tools to detect COVID-19, given the significant impact on public health and the global economy.

"The most widely used COVID-19 test, real-time polymerase chain reaction (PCR), can be slow and costly and produce false negatives. To confirm a diagnosis, radiologists need to manually examine CT scans or X-rays, which can be time-consuming and prone to error," said Professor Gandomi.

"The new AI system could be particularly beneficial in countries experiencing high levels of COVID-19 where there is a shortage of radiologists. Chest X-rays are portable, widely available, and provide lower exposure to ionizing radiation than CT scans," he said.

Common symptoms of COVID-19 include fever, cough, difficulty breathing, and a sore throat, but it can be difficult to distinguish COVID-19 from flu and other types of pneumonia. The new AI system, detailed in a paper published in the journal Scientific Reports, uses a deep learning-based algorithm called a Custom Convolutional Neural Network (Custom-CNN) that is able to quickly and accurately distinguish between COVID-19 cases, normal cases, and pneumonia in X-ray images. "Deep learning offers an end-to-end solution, eliminating the need to manually search for biomarkers. The Custom-CNN model streamlines the detection process, providing a faster and more accurate diagnosis of COVID-19," said Professor Gandomi.

"If a PCR test or rapid antigen test shows a negative or inconclusive result, due to low sensitivity, patients may require further examination via radiological imaging to confirm or rule out the virus's presence. In this situation, the new AI system could prove beneficial,” he added. The custom-CNN model was evaluated via a comprehensive comparative analysis, with accuracy as the performance criterion. The results showed that the new model outperforms the other AI diagnostic models, the team said.